Ngày 8/4, đại diện Bệnh viện Nhi đồng 1 (TPHCM) cho biết, vừa qua các bác sĩ khoa Ngoại Thần kinh đã tiếp nhận và điều trị thành công một trường hợp bệnh nhi mang khối u não nguy hiểm.
Bệnh nhi là bé T.G.K. (7 tháng tuổi, ngụ tỉnh Đồng Tháp). Khai thác bệnh sử, lúc 3 tháng tuổi, người nhà phát hiện đầu bé to dần, hay nôn ói sau bú và mắt nhìn xuống nên đưa đến khám tại Bệnh viện Nhi đồng 1.
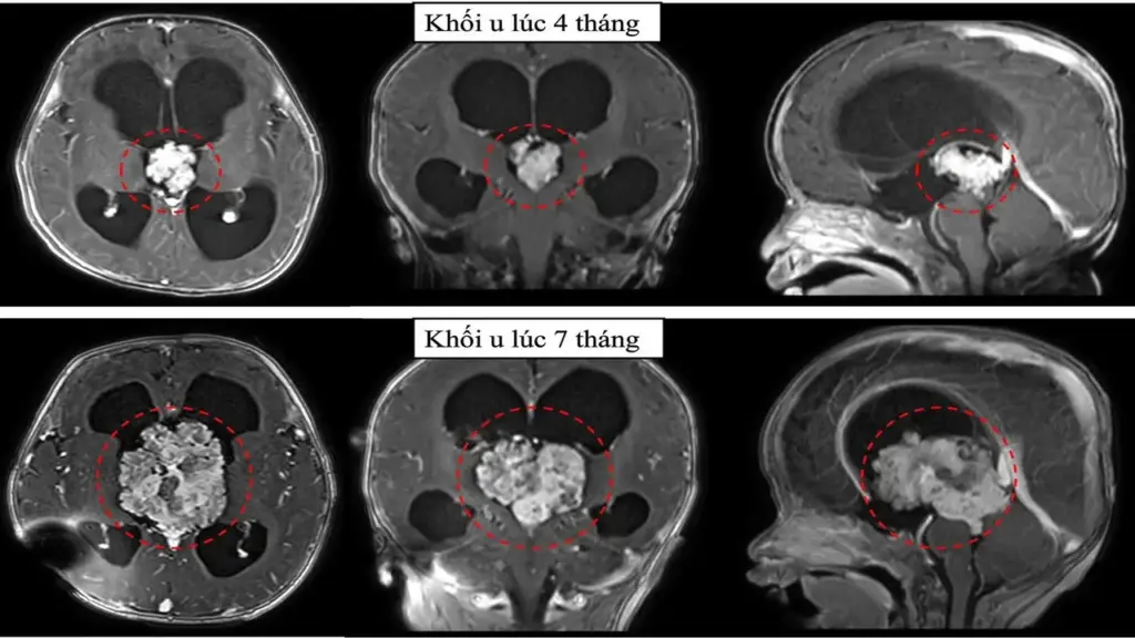
Quá trình thăm khám, bác sĩ ghi nhận bé có tình trạng tăng áp lực nội sọ, ảnh siêu âm cho thấy khối u chèn ép vùng não thất III, gây giãn não thất nặng. Tiếp tục chụp cộng hưởng từ sọ não, bệnh nhi được xác định tình trạng não úng thuỷ tắc nghẽn, với khối u nằm ở vị trí có nhiều cấu trúc thần kinh quan trọng xung quanh.
Kết quả giải phẫu bệnh xác định, bệnh nhi mang u đám rối mạch mạc không điển hình độ 2, một khối u hiếm gặp của hệ thần kinh trung ương.
Do lo lắng việc phẫu thuật lấy u gây nguy cơ cao, gia đình và bác sĩ thống nhất tiến hành đặt dẫn lưu não thất màng bụng để điều trị giảm áp lực nội sọ tạm thời, đợi một khoảng thời gian bé đủ lớn sẽ mổ lấy u.
Nhưng 3 tháng sau, khi chụp phim cộng hưởng từ sọ não, bác sĩ phát hiện khối u tăng kích thước hơn gấp 3 lần. Không thể trì hoãn thêm, ê-kíp điều trị tư vấn gia đình việc phẫu thuật mổ lấy u để cấp cứu cháu bé.
Với sự chuẩn bị chu đáo và phối hợp nhịp nhàng giữa các chuyên khoa Ngoại thần kinh, Phẫu thuật gây mê hồi sức cùng Hồi sức ngoại, ca mổ đã diễn ra an toàn trong 6 giờ đồng hồ, giúp khối u của bé được bóc tách thành công. Sau thời gian hồi sức và chăm sóc tích cực sau mổ, bé đã hồi phục và được xuất viện.
TS.BS Trần Minh Huy, khoa Ngoại Thần kinh, chia sẻ, đây là ca mổ rất khó khăn, khi khối u kích thước lớn (6cm), tăng sinh mạch máu nuôi và phát triển trong lòng não thất. Ngoài ra, với thời gian cuộc mổ kéo dài, nguy cơ mất máu nhiều trên bệnh nhi 7 tháng tuổi đòi hỏi năng lực chuyên môn và phối hợp liên chuyên khoa chặt chẽ.
“Chúng tôi đã vượt qua những thách thức để thực hiện thành công ca phẫu thuật, đưa bệnh nhi trở về lại với cuộc sống bình thường”, bác sĩ Huy nói.
Tái tạo khuyết hổng cho bệnh nhân ung thư vùng má
Các bác sĩ Bệnh viện Nguyễn Trãi (TPHCM) vừa phẫu thuật cắt khối u và tái tạo vùng khuyết hổng cho một phụ nữ mang khối u ác tính vùng má.
Theo bệnh sử, trước 2 tháng nhập viện, bà L. (63 tuổi) đã phát hiện khối cứng ở má trái, tăng dần kích thước theo thời gian và gây đau nhẹ khi ăn nhai. Vì nghĩ là viêm loét thông thường, bà không đi khám sớm, mà chỉ đợi khi tổn thương không cải thiện mới vào Bệnh viện Nguyễn Trãi kiểm tra.
Dựa trên kết quả khám lâm sàng và chẩn đoán hình ảnh, bệnh nhân được xác định ung thư niêm mạc má trái giai đoạn 3. Do khối u xâm lấn sâu, nguy cơ ảnh hưởng chức năng ăn nhai và nuốt sau mổ, bệnh nhân được tư vấn kỹ về phương pháp phẫu thuật và nguy cơ biến chứng.
Song song đó, bà cũng được mở thông dạ dày để nuôi ăn trước mổ, nhằm đảm bảo dinh dưỡng và chuẩn bị thể trạng tốt nhất.
Sau khi cắt rộng khối u và nạo hạch cổ trái, ê-kíp điều trị tiếp tục mổ tái tạo khuyết hổng bằng vạt đảo dưới cằm. Đây là kỹ thuật đòi hỏi các bác sĩ phải kiểm soát toàn diện để đáp ứng an toàn, đồng thời đảm bảo tái tạo mô mềm giúp phục hồi chức năng và thẩm mỹ.
Hậu phẫu, bệnh nhân diễn tiến thuận lợi, vết thương lành tốt và xuất viện sau 5 ngày chăm sóc.
Các bác sĩ khuyến cáo, ung thư niêm mạc má thường khởi phát bằng những tổn thương nhỏ, dễ nhầm với loét miệng thông thường. Người dân cần đi khám ngay khi có các dấu hiệu loét miệng kéo dài trên 2 tuần không lành; có khối cứng vùng má, lưỡi hoặc sàn miệng; chảy máu bất thường trong khoang miệng.
“Người trên 40 tuổi, có tiền sử hút thuốc, uống rượu nên khám và tầm soát định kỳ để phát hiện bệnh ở giai đoạn sớm, giúp nâng cao hiệu quả điều trị và chất lượng sống”, bác sĩ hướng dẫn.
Mức phạt này được quy định tại Nghị định 90/2026 về xử phạt vi phạm hành chính trong lĩnh vực y tế vừa được Chính phủ ban hành. Theo đó, nhiều hành vi về uống rượu bia, kinh doanh hay quảng cáo mặt hàng sẽ bị xử phạt với mức tiền lên tới hàng chục triệu đồng nếu không tuân thủ quy định của nhà nước.
Thực tế, văn hóa tiệc tùng tại Việt Nam thường xuyên xuất hiện tình trạng ép những người không muốn hoặc không có tửu lượng phải dùng rượu bia. Cơ quan quản lý kỳ vọng chế tài trên xóa bỏ thói quen lôi kéo độc hại, hướng cộng đồng đến việc tiêu dùng tự nguyện và văn minh hơn.
Cùng mức phạt 1-3 triệu đồng, nhà chức trách sẽ xử lý các cơ sở bán đồ uống có cồn cho người dưới 18 tuổi hoặc không niêm yết thông báo cấm bán cho trẻ vị thành niên ở vị trí dễ quan sát. Người kinh doanh sẽ mất 5-10 triệu đồng nếu mở điểm bán tiêu thụ tại chỗ trong bán kính 100 mét quanh các cơ sở y tế, trường học hoặc kinh doanh tại những địa điểm cấm. Với nền tảng thương mại điện tử, chủ gian hàng phải nộp 10-20 triệu đồng nếu không tích hợp màng lọc ngăn chặn người dưới 18 tuổi tìm kiếm và mua hàng.
Chính quyền áp dụng khung hình phạt nặng nhất 20-30 triệu đồng đối với hành vi sử dụng sản phẩm từ 15 độ cồn trở lên để khuyến mại. Cơ quan chức năng cũng dùng mức phạt này để xử lý những doanh nghiệp thuê người chưa đủ 18 tuổi đóng quảng cáo, hoặc nhắm mục tiêu tiếp thị tới học sinh, sinh viên, thanh niên và phụ nữ mang thai.
Những biện pháp đánh mạnh vào túi tiền người vi phạm xuất phát từ hệ lụy nghiêm trọng của tình trạng lạm dụng thức uống có cồn. Dữ liệu từ Tổ chức Y tế Thế giới (WHO) chỉ ra Việt Nam hiện đứng thứ hai Đông Nam Á và thứ ba châu Á về lượng tiêu thụ bình quân đầu người, "đốt" khoảng 3,4 tỷ USD mỗi năm cho rượu bia. Khoảng 44% nam giới trưởng thành tại Việt Nam đang duy trì thói quen uống ở mức nguy hại. Đặc biệt trong các dịp lễ Tết, số ca ngộ độc hoặc tai nạn liên quan đồ uống có cồn tăng nhanh tạo áp lực quá tải lên các bệnh viện và y bác sĩ.
PGS.TS Nguyễn Quang Dũng, Phó trưởng Bộ môn Dinh dưỡng và An toàn thực phẩm, Đại học Y Hà Nội, nói tác động tàn khốc của chất cồn lên cơ thể thường diễn ra âm thầm. Chất độc từ đồ uống này trực tiếp phá hủy hệ miễn dịch, gây cao huyết áp, bệnh tim mạch và hàng loạt bệnh ung thư nguy hiểm ở vòm họng, thực quản, gan hay đại trực tràng...
Chính phủ vừa ban hành Nghị định 90/2026/NĐ-CP quy định xử phạt vi phạm hành chính trong lĩnh vực y tế (Nghị định 90/2026), có hiệu lực thi hành từ ngày 15.5.2026.
Theo Nghị định 90/2026, vi phạm hành chính trong lĩnh vực y tế là những hành vi vi phạm quy định của pháp luật về quản lý nhà nước trong lĩnh vực y tế mà không phải là tội phạm và theo quy định của pháp luật phải bị xử phạt vi phạm hành chính. Bao gồm vi phạm các quy định về: y tế dự phòng và phòng, chống HIV/AIDS; khám bệnh, chữa bệnh; dược, mỹ phẩm; thiết bị y tế; bảo hiểm y tế và vi phạm các quy định về dân số.
Nghị định quy định rõ mức phạt tiền tối đa đối với hành vi vi phạm hành chính về dân số là 30 triệu đồng đối với cá nhân và 60 triệu đồng đối với tổ chức.
Mức phạt tiền tối đa đối với hành vi vi phạm hành chính về y tế dự phòng và phòng, chống HIV/AIDS là 50 triệu đồng đối với cá nhân và 100 triệu đồng đối với tổ chức.
Mức phạt tiền tối đa đối với hành vi vi phạm hành chính về bảo hiểm y tế là 75 triệu đồng đối với cá nhân và 150 triệu đồng đối với tổ chức.
Mức phạt tiền tối đa đối với hành vi vi phạm hành chính về khám bệnh, chữa bệnh, dược, mỹ phẩm và thiết bị y tế là 100 triệu đồng đối với cá nhân và 200 triệu đồng đối với tổ chức.
Đối với cùng một hành vi vi phạm hành chính, mức phạt tiền đối với tổ chức bằng 2 lần mức phạt tiền đối với cá nhân.
Với các hành vi vi phạm cụ thể như: vi phạm các quy định về uống rượu, bia và địa điểm không uống rượu, bia, Nghị định 90/2026 quy định cảnh cáo đối với người từ đủ 16 tuổi nhưng chưa đủ 18 tuổi uống rượu, bia.
Phạt tiền từ 500.000 đồng - 1 triệu đồng đối với một trong các hành vi: uống rượu, bia tại địa điểm không uống rượu, bia theo quy định của pháp luật; xúi giục, kích động, lôi kéo người khác uống rượu bia.
Phạt tiền từ 1 - 3 triệu đồng đối với một trong các hành vi sau đây: uống rượu, bia ngay trước, trong giờ làm việc, học tập và nghỉ giữa giờ làm việc, học tập; ép buộc người khác uống rượu bia.
Phạt tiền từ 5 - 10 triệu đồng đối với hành vi của người đứng đầu cơ sở kinh doanh vận tải, chủ phương tiện giao thông vận tải không thực hiện biện pháp phòng ngừa, phát hiện, ngăn chặn người điều khiển phương tiện vận tải uống rượu, bia ngay trước và trong khi tham gia giao thông.
Về phòng chống tác hại thuốc lá, phạt tiền đến 10 triệu đồng đối với một trong các hành vi sau đây tại nơi dành riêng cho người hút thuốc lá: không có phòng và hệ thống thông khí tách biệt với khu vực không hút thuốc lá; không có thiết bị phòng cháy, chữa cháy…
Với các biện pháp chống dịch, về kiểm dịch y tế biên giới, Nghị định 90/2026 quy định phạt tiền từ 5 - 10 triệu đồng đối với một trong các hành vi:
Che giấu tình trạng bệnh của mình hoặc của người khác khi mắc bệnh truyền nhiễm đã được công bố là có dịch;
Không thực hiện hoặc từ chối thực hiện biện pháp vệ sinh, diệt trùng, tẩy uế trong vùng có dịch;
Không tham gia chống dịch theo quyết định huy động của người có thẩm quyền; Thu tiền khám và điều trị đối với trường hợp mắc bệnh truyền nhiễm thuộc nhóm A.
Nghị định cũng quy định, phạt tiền từ 15 - 20 triệu đồng đối với hành vi không chấp hành cách ly y tế...
Ngủ trưa có thể mang lại nhiều lợi ích, nhưng nếu không đúng cách lại dễ ảnh hưởng đến giấc ngủ ban đêm, theo báo Hindustan Times.
Bác sĩ Chakkera Priyanka, chuyên khoa thần kinh tại Bệnh viện Kauvery (Ấn Độ), cho biết ngủ trưa là “con dao hai lưỡi”. Nếu ngủ hợp lý, cơ thể được phục hồi năng lượng; ngược lại, ngủ sai cách có thể làm rối loạn nhịp sinh học và gây mất ngủ về đêm.
Theo đó, một giấc ngủ trưa lý tưởng chỉ nên kéo dài khoảng 20 - 30 phút. Khoảng thời gian này giúp cải thiện sự tập trung, tăng tỉnh táo, nâng cao khả năng nhận thức và cải thiện tâm trạng mà không gây ảnh hưởng tiêu cực.
Ngược lại, ngủ trưa quá dài hoặc ngủ vào cuối buổi chiều có thể khiến cơ thể khó đi vào giấc ngủ ban đêm. Tình trạng này kéo dài sẽ làm xáo trộn nhịp sinh học, khiến ban đêm trằn trọc, buổi sáng mệt mỏi và ban ngày lại phụ thuộc nhiều hơn vào giấc ngủ trưa - tạo thành một vòng lặp khó kiểm soát.
Một số dấu hiệu cho thấy ngủ trưa đang gây hại gồm khó ngủ vào ban đêm, ban ngày uể oải, thiếu tỉnh táo và phải ngủ trưa mới có thể hoạt động bình thường.
Theo bác sĩ Priyanka, buồn ngủ quá mức ban ngày cũng có thể liên quan đến các vấn đề nghiêm trọng hơn như ngưng thở khi ngủ hoặc thiếu ngủ kéo dài, cần được thăm khám.
Bà Priyanka khuyến nghị nên ngủ trưa trước 15 giờ và giữ thời gian ngủ ngắn. Thói quen đi ngủ và thức dậy cần duy trì đều đặn mỗi ngày để ổn định nhịp sinh học.
Buổi tối cần hạn chế tiếp xúc với thiết bị điện tử và đảm bảo ngủ đủ 7 - 9 giờ.
Ngủ trưa đúng cách giúp cơ thể phục hồi năng lượng. Thói quen này vẫn có lợi khi kiểm soát tốt thời gian và thời điểm ngủ.